Facetas dentárias - Técnica de Sandwich
Tratamentos executados por Dr. Alexandre Goulão | Ceramista Sara Martins
O Caso Clínico apresentado corresponte á continuação e conclusão do "Caso Clínico 2 - Facetas palatinas". Consiste num tratamento minimanente invasivo e ultra-conservador de dentes com um desgaste bastante significativo da superfície palatina - ou interna - que abrange também o bordo dos dentes do corredor do sorriso, que foi resolvido em duas fases.
Pode verificar as explicações do caso, passo a passo, nas descrições das imagens:
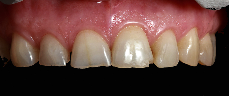
¬ Fotografias iníciais - Dentes do sector anterior com desgaste bastante significativo com destruição do esmalte do bordo incisal de todos os dentes, de canino a canino, bem como do pré-molar.


¬ O caso foi estudado de maneira a repor a superfície de esmalte perdida e recuperar a estética do sorriso, mas mantendo sempre a estrutura remanescente de dente o mais íntegra possível.
Para isso, foi feito um tratamento com facetas dentárias em 2 fases: uma faceta palatina - ou interna - e outra vestibular - ou externa.
Esta técnica envolve cada dente tratado com 2 facetas de cerâmica, mantedo o dente original no interior - como se tratasse de uma Sandwich

¬ Planeamento e execução das facetas palatinas no laboratório de prótese dentária com recurso á tecnologia Cad-Cam
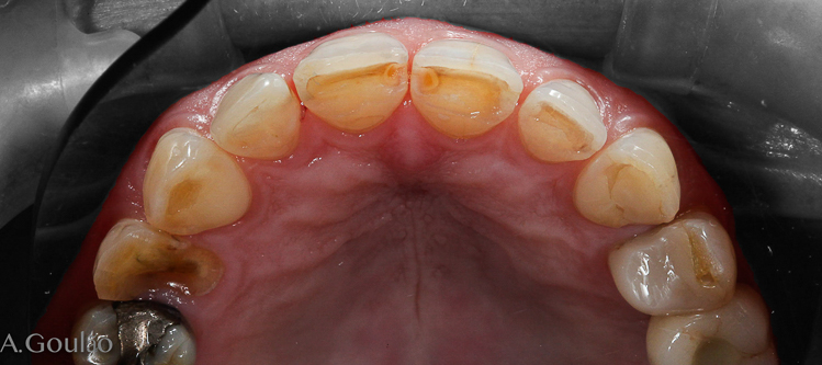
Inícialmente foi reposta a estrutura palatina dos dentes com facetas "por dentro", com uma cerâmica híbrida que possuí uma dureza semelhante á dos dentes antagonistas ( que vai impedir um desgaste prematuro dos dentes antagonistas que estão em contacto com as referidas facetas ) ver mais


¬ Facetas com acabamento do técnico de prótese e prontas a colocar em boca


¬ Facetas Palatinas colocadas e aderidas. Iremos iniciar os procedimentos para a segunda fase do tratamento
¬ Segunda fase: facetas de cerâmica feldespática Vestibulares - externas - para repor a estética e rejuvenecer o sorriso

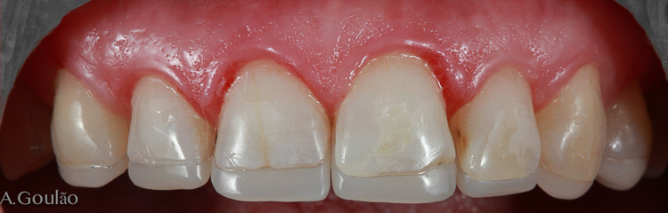
¬ Mock-up - Prova de forma para as Facetas "externas" - ou vestíbulares.
Este passo permite pré-visualizar de forma muito rigorosa o resultado final do tratamento. É possível testar a forma dos dentes e antever a quantidade de tecido dentário necessário desgastar, mesmo antes de se inicar algum procedimento

¬ Desenho virtual das facetas cerâmicas com recurso a tecnologia Cad-Cam e acabamento pelo técnico de prótese dentária


¬ Facetas terminadas sobre os modelos de trabalho, prontas a ser aderidas aos dentes da paciente




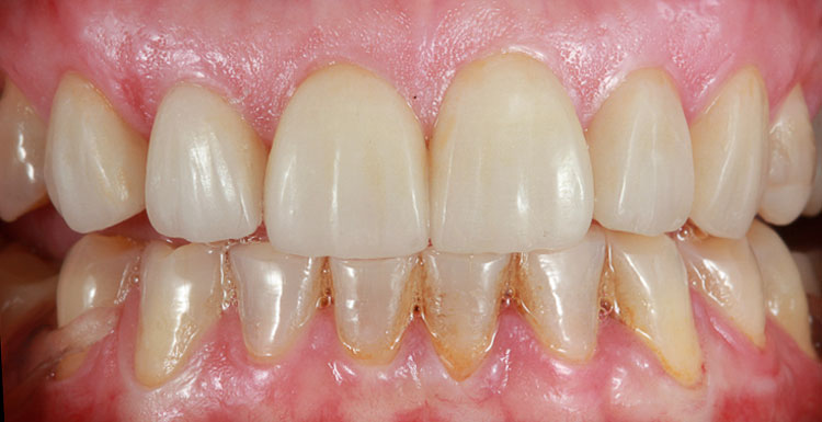
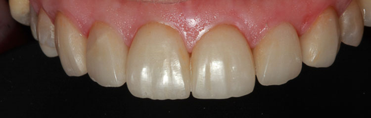
¬ Finalização do tratamento com óptima integração estética e morfologia idêntica á planificada no início do tratamento. Foi possível recuperar a função mastigatória, reforçar a estrutura dentária e melhorar a estética do sorriso de forma minímamente invasiva e extremamente conservadora do remanescente dos dentes.
+ VER MAIS CASOS CLÍNICOS |