Acção de Formação na UIC - Barcelona

Publicado em 08/04/2017

Recentemente, o Dr Alexandre Goulão participou no Curso Intensivo de Endodoncia Avanzada na conceituada UIC - Universidad Internacional de Catalunya em Barcelona, numa acção de formação para actualização de procedimentos e técnicas para conservação de dentes severamente comprometidos !

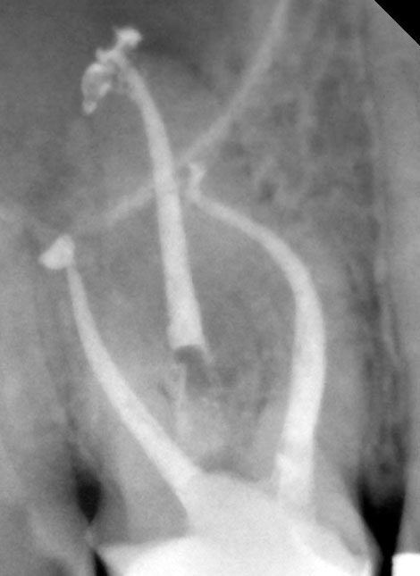
TRATAMENTO ENDODONTICO
Conhecido popularmente como o tratamento de "matar o nervo" Endodontia é uma especialidade para salvar a extração do dente quando o nervo está infectado, por exemplo, por causa de uma lesão de cárie. O acesso ao nervo do dente (órgão pulpar), o tecido nervoso infectado é removido e selado. O resultado é um  dente desvitalizado, mas saudável e apto para desempenhar suas funções.

tratamento endodontico Dr Alexandre Goulão Dentarmed Almada

 

+ VER MAIS
Uic - campus-sant-cugat

Foram discutidos casos de terapia vital e revascularização de dentes necrosados, reabsorções de estruturas radiculares, reparação de perfurações, técnicas de remoção de instrumentos fracturados nos canais, técnicas de identificação e instrumentação de dentes com canais calcificados, atualização em técnicas de desinfeção de canais, técnicas de obturação termoplásticas e técnicas de micro-cirurgia endodontica, temas de grande relevâcia na actualidade da ciência médico-dentária.

 

 
 



Notícias relacionadas